Premium Care Center
유방 미세석회화
조기 발견, 그리고 정확한 진단이 소중한 삶을 지킵니다
정기적인 유방검진 결과에서 자주 발견되는 '석회화'는
많은 여성분들이 마주하게 되는 검진 소견입니다. 특히 '미세석회화'의 경우
유방암과 연관성이 있을 수 있어 세심한 관찰과 정확한 진단이 매우 중요합니다.
조기 발견, 그리고 정확한 진단이 소중한 삶을 지킵니다
정기적인 유방검진 결과에서 자주 발견되는 '석회화'는
많은 여성분들이 마주하게 되는 검진 소견입니다. 특히 '미세석회화'의 경우
유방암과 연관성이 있을 수 있어 세심한 관찰과 정확한 진단이 매우 중요합니다.
정기적인 유방검진 결과에서 자주 발견되는 '석회화'는 많은 여성분들이 마주하게 되는 검진 소견입니다. 특히 '미세석회화'의 경우 유방암과 연관성이 있을 수 있어 세심한 관찰과 정확한 진단이 매우 중요합니다.
TYPES OF CONDITIONS
'미세석회화'는 유방암과의 연관 가능성이 있어 철저한 검사와 전문적 판단이 필수입니다. 블레스유는 HOLOGIC사의 Selenia Dimensions 3D 유방촬영 시스템을 갖추고 있어, 대학병원에서 사용하는 첨단 장비로 수술적 절개 없이도 고정밀 검사를 시행할 수 있는 진료 환경을 제공합니다.
일반적인 특징(크기가 크고 모양이 균일함)을 가진 석회화
양성 석회화는 대부분 둥글고 매끄러운 경계를 가지며 유방암과 관련 없으나, 정기적인 추적 검사로 석회화의 변화 여부를 확인하는 것이 중요합니다.
불규칙한 모양 / 군집형 분포 양상에 의해 의심되는 석회화
악성 석회화는 크기가 작고(0.5mm 미만) 불규칙한 형태를 보이며 한 부위에 밀집되어 있어 조직검사가 필요할 수 있으며, 조기 발견과 정확한 진단이 매우 중요합니다.
HIGH-TECH DEVICE
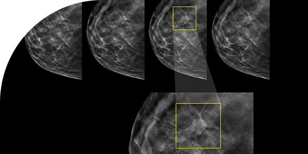
미세석회화의 정확한 분석을 위해서는 고화질의 유방촬영(Mammography)과 확대촬영(Magnification view)이 가능한 장비가 필요합니다. 블레스유여성의원은 세계적으로 인정받은 Hologic사의 Selenia Dimensions 3D Mammography 시스템을 도입하여 정확한 진단과 안전한 조직검사를 위한 3D 유방촬영 시스템과 입체정위생검(Stereotactic Biopsy) 기술을 도입한 특화된 미세석회클리닉을 운영합니다.
PROCESS
블레스유는 첨단장비 활용 및 풍부한
임상경험을 바탕으로 정확한 검사를 도와드립니다.
미세석회화는 초음파로는 잘 보이지 않기 때문에 유방촬영술을 해야만 발견할 수 있습니다. 그래서 유방압박이 불편하시더라도 반드시 유방촬영 검사를 받으셔야 합니다.
의심스러운 미세석회화가 발견되면 그 부위를 자세히 보는 확대촬영을 추가로 하게 됩니다. 확대촬영에서 석회화의 개수, 모양, 분포, 동반된 다른 소견이 있는지 등을 분석합니다.
암 가능성이 3%를 넘어가는 경우: Selenia Dimensions 3D 유방촬영이나 다른 방법을 통해 위치를 찾아 조직검사를 진행합니다.
유방암 가능성이 2% 이하인 경우: 바로 조직검사를 하지 않고 보통 6개월이나 1년 뒤에 추적검사를 통해 관찰합니다.
Selenia Dimensions 3D 시스템을 이용한 입체정위생검으로 수술없이 정확한 위치에서 조직을 채취합니다.
STEREOTACTIC BIOPSY
왜 일반 생검으로는 미세석회화 검사가 어려울까요?
미세석회화는 크기가 매우 작고(보통 0.5mm 미만) 초음파에서 잘 보이지 않아 일반적인 방법으로는 정확한 위치 파악과 조직 채취가 어렵습니다. 블레스유에서는 첨단 장비를 활용해 병변의 정확한 위치를 파악 후 바늘 삽입 위치를 결정합니다. 정확한 부위에서 조직샘플을 채취 후 목표 석회화 포함 여부를 즉시 확인합니다.
높은 정확도
3D 영상으로 미세석회화의 정확한 위치를
파악하여 1mm 이내 정밀도로 조직 채취
비수술적 접근
작은 바늘을 통해 조직을 채취하므로
수술없이 시행 가능
빠른 회복
시술 후 일상생활 즉시 가능,
미용적 흉터 최소화
짧은 시술 시간
국소마취만으로
약 20-30분 내에 완료
TREATMENT
검사 결과에 따라 적절한 치료 방법이 결정됩니다.
유방암으로 진단
원칙에 따라 유방암 치료를 받으실 수 있게 안내합니다.
전암성 병변(암의 전단계)
현재 유방암은 아니지만 암으로 진행할 가능성이
높기 때문에 수술적 절제를 통해 남아있는
석회화 병변을 제거하셔야 합니다.
양성 석회화
일반적으로 제거할 필요가 없으며,
보통 6개월이나 1년 후에 추적검사를 진행합니다.
저희는 언제나 여성의 건강과
아름다움을 위한 길잡이가 되겠습니다.
전문 여성의료진의 섬세한 진료로
건강한 내일을 약속드립니다.
TYPES OF CONDITIONS
'미세석회화'는 유방암과의 연관 가능성이 있어 철저한 검사와 전문적 판단이 필수입니다.
블레스유는 HOLOGIC사의 Selenia Dimensions 3D 유방촬영 시스템을 갖추고 있어,
대학병원에서 사용하는 첨단 장비로 수술적 절개 없이도
고정밀 검사를 시행할 수 있는 진료 환경을 제공합니다.

일반적인 특징(크기가 크고 모양이 균일함)을 가진 석회화
불규칙한 모양 / 군집형 분포 양상에 의해 의심되는 석회화
양성 석회화는 대부분 둥글고 매끄러운 경계를 가지며 유방암과 관련 없으나,
정기적인 추적 검사로 석회화의 변화 여부를 확인하는 것이 중요합니다.
악성 석회화는 크기가 작고(0.5mm 미만) 불규칙한 형태를 보이며 한 부위에 밀집되어 있어
조직검사가 필요할 수 있으며, 조기 발견과 정확한 진단이 매우 중요합니다.
HIGH-TECH DEVICE
미세석회화의 정확한 분석을 위해서는 고화질의 유방촬영(Mammography)과
확대촬영(Magnification view)이 가능한 장비가 필요합니다. 블레스유여성의원은
세계적으로 인정받은 Hologic사의 Selenia Dimensions 3D Mammography
시스템을 도입하여 정확한 진단과 안전한 조직검사를 위한 3D 유방촬영 시스템과
입체정위생검(Stereotactic Biopsy) 기술을 도입한 특화된 미세석회클리닉을 운영합니다.

PROCESS
블레스유는 첨단장비 활용 및
풍부한 임상경험을 바탕으로
정확한 검사를 도와드립니다.

미세석회화는 초음파로는 잘 보이지 않기 때문에 유방촬영술을 해야만 발견할 수 있습니다.
그래서 유방압박이 불편하시더라도 반드시 유방촬영 검사를 받으셔야 합니다.

의심스러운 미세석회화가 발견되면 그 부위를 자세히 보는 확대촬영을 추가로 하게 됩니다.
확대촬영에서 석회화의 개수, 모양, 분포, 동반된 다른 소견이 있는지 등을 분석합니다.

암 가능성이 3%를 넘어가는 경우: Selenia Dimensions 3D 유방촬영이나 다른 방법을 통해 위치를 찾아 조직검사를 진행합니다.
유방암 가능성이 2% 이하인 경우: 바로 조직검사를 하지 않고 보통 6개월이나 1년 뒤에 추적검사를 통해 관찰합니다.

Selenia Dimensions 3D 시스템을 이용한 입체정위생검으로
수술없이 정확한 위치에서 조직을 채취합니다.
STEREOTACTIC BIOPSY
왜 일반 생검으로는 미세석회화 검사가 어려울까요?
미세석회화는 크기가 매우 작고(보통 0.5mm 미만) 초음파에서 잘 보이지 않아
일반적인 방법으로는 정확한 위치 파악과 조직 채취가 어렵습니다.
블레스유에서는 첨단 장비를 활용해 병변의 정확한 위치를 파악 후 바늘 삽입 위치를 결정합니다.
정확한 부위에서 조직샘플을 채취 후 목표 석회화 포함 여부를 즉시 확인합니다.
높은 정확도
3D 영상으로 미세석회화의 정확한 위치를 파악하여 1mm 이내 정밀도로 조직 채취
비수술적 접근
작은 바늘을 통해 조직을 채취하므로 수술없이 시행 가능
빠른 회복
시술 후 일상생활 즉시 가능, 미용적 흉터 최소화
짧은 시술 시간
국소마취만으로 약 20-30분 내에 완료
TREATMENT
검사 결과에 따라 적절한
치료 방법이 결정됩니다.
유방암으로 진단: 원칙에 따라 유방암 치료를 받으실 수 있게 안내합니다. |
전암성 병변(암의 전단계): 현재 유방암은 아니지만 암으로 진행할 가능성이높기 때문에 수술적 절제를 통해 남아있는 석회화 병변을 제거하셔야 합니다. |
양성 석회화: 일반적으로 제거할 필요가 없으며,보통 6개월이나 1년 후에 추적검사를 진행합니다. |
저희는 언제나 여성의 건강과 아름다움을 위한 길잡이가 되겠습니다.
전문 여성의료진의 섬세한 진료로 건강한 내일을 약속드립니다.